About us

Delivering exceptional dental care with a strong emphasis on patient comfort, advanced treatments, and personalized service to ensure a healthy, confident smile

Location

  • 8685 Lundy’s LN , Unit 9 Niagara Falls, On L2H 1H4

Social Media

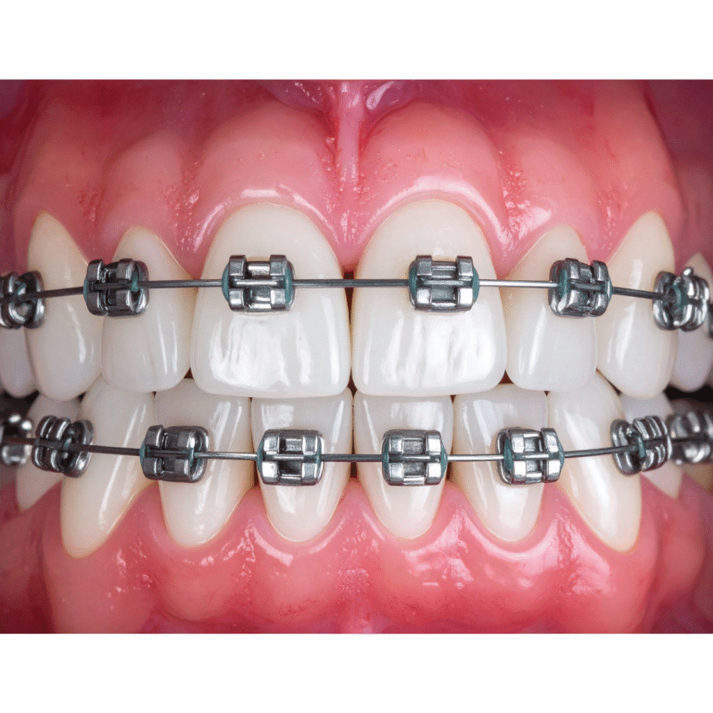
Braces 101: What to Expect When Straightening Your Smile at Tooth Harmony

Straight teeth do more than make a great first impression — they support easier cleaning, balanced chewing, and long-term oral health. Whether you’re considering braces for yourself or your child, understanding how orthodontic treatment works can make the process feel a lot more comfortable and predictable.

At Tooth Harmony in Niagara Falls, we provide orthodontic options, including traditional braces and clear aligner systems like Invisalign®, that are tailored to each patient’s unique smile. Here’s what you can expect before, during, and after your treatment journey.

Why Orthodontic Treatment Matters

Braces and aligners don’t just improve how teeth look — they also correct bite issues that can lead to uneven wear, difficulty chewing, or jaw strain over time.
Common reasons patients in Niagara Falls choose orthodontic treatment include:

  • Crowded teeth – when there isn’t enough space for all teeth to fit properly.

  • Spacing or gaps – where extra space appears between teeth.

  • Overbite or underbite – when upper and lower teeth don’t align evenly.

  • Crossbite or open bite – which may affect comfort and function.

By gradually guiding teeth into better alignment, braces help create a healthier bite and a balanced foundation for a lasting smile.

The First Step: Your Orthodontic Consultation

tooth harmony

Your journey starts with a friendly, no-pressure consultation at Tooth Harmony. During this visit, we’ll:

  1. Examine your teeth and bite to understand your current alignment.

  2. Take digital X-rays and photos (if needed) for a complete picture.

  3. Discuss treatment options, timelines, and expected results.

  4. Answer questions about comfort, care routines, and cost.

We believe every orthodontic plan should fit your lifestyle and comfort level — whether that means traditional braces or clear aligners.

Traditional Braces vs. Clear Aligners

At Tooth Harmony, we offer both types of orthodontic solutions:

Traditional Braces

  • Use metal or ceramic brackets attached to each tooth.

  • Gradually shift teeth with gentle wire adjustments.

  • Ideal for moderate to complex corrections.

  • Custom coloured elastics let you personalise your look (especially fun for kids and teens!).

Clear Aligners (Invisalign®)

  • Made from transparent plastic trays that fit snugly over teeth.

  • Removable for eating, brushing, and flossing.

  • Virtually invisible — popular for working professionals and teens.

  • Best for mild to moderate alignment needs.

Both options can deliver excellent results when used consistently and properly maintained. Our Niagara Falls dental team will recommend the approach that matches your specific goals.

What to Expect During Treatment

Orthodontic treatment typically takes 12 to 24 months, depending on the complexity of your case. Here’s a general timeline of what you can expect:

  1. Getting Started – Braces are placed or aligners are fitted. You’ll learn how to care for them and what foods to avoid.

  2. Adjustment Appointments – Every 4–8 weeks, you’ll visit our office so we can check progress and make small adjustments or provide new aligner sets.

  3. Oral Care Check-ins – Keeping teeth clean during orthodontic treatment is essential. We’ll share tips for brushing and flossing around braces or using special cleaning tools for aligners.

  4. Completion & Retention – Once your teeth are aligned, we’ll fit you for a retainer to help maintain your results over time.

We’ll also track your progress with photos and periodic assessments so you can see the difference as it happens.

Caring for Your Teeth During Braces

Good oral hygiene is especially important when wearing braces or aligners. Here are some simple ways to keep your smile healthy throughout treatment:

  • Brush after every meal using a soft-bristled toothbrush and fluoride toothpaste.

  • Floss daily with a threader or interdental brush.

  • Rinse with water after snacks to wash away food particles.

  • Avoid sticky or hard foods like caramels, nuts, and ice that can damage brackets.

  • Clean aligners daily with lukewarm water — never hot — to prevent warping.

We’ll also provide guidance specific to your orthodontic device to make care simple and effective.

Common Concerns and Comfort Tips

It’s normal to experience mild soreness after adjustments or when starting new aligners. To ease discomfort:

  • Rinse with warm salt water.

  • Eat soft foods for the first couple of days.

  • Use orthodontic wax if a bracket rubs your cheek.

Most patients find that any tenderness subsides quickly as their mouth adjusts. We’re always here to answer questions or make small adjustments if something feels off

The Role of Regular Checkups

Even while undergoing orthodontic care, routine cleanings and exams remain important. They help ensure:

  • Teeth and gums stay healthy throughout treatment.

  • Plaque and tartar are kept under control.

  • Any small issues are caught before they grow into larger problems.

Our team works closely with you to keep your smile healthy at every stage of the process.

Life After Braces

When your braces come off or your aligner journey is complete, you’ll get to see the results of your effort — a more balanced, confident smile. To keep your teeth in their new positions:

  • Wear your retainer as directed.

  • Continue with regular dental visits.

  • Maintain good oral hygiene and a balanced diet.

Teeth naturally try to shift over time, so consistent retainer use is the key to maintaining your beautiful results.

Orthodontic Care in Niagara Falls

At Tooth Harmony, we believe that a confident smile begins with clear communication and gentle care. Our Niagara Falls team provides orthodontic solutions that fit your needs, whether you’re exploring braces for your child or considering aligners for yourself.

Schedule a visit with Tooth Harmony in Niagara Falls at www.toothharmony.com to learn more about your options.

Or visit us here: 

Tooth Harmony Dental

toothharmonydental

Prev post
Next post