About us

Delivering exceptional dental care with a strong emphasis on patient comfort, advanced treatments, and personalized service to ensure a healthy, confident smile

Location

  • 8685 Lundy’s LN , Unit 9 Niagara Falls, On L2H 1H4

Social Media

Fresh Breath, Confident Smile: Understanding and Preventing Bad Breath

We’ve all had those moments — you’re chatting with someone and suddenly wonder, “Is my breath okay?” Bad breath, or halitosis, is something almost everyone experiences at some point. Whether it’s after morning coffee or during a stressful day, it can be embarrassing and uncomfortable.

At Tooth Harmony in Niagara Falls, we remind our patients that occasional bad breath is normal — but if it’s persistent, it could be a sign that something in your mouth needs a little extra attention. Here’s what causes it, how to prevent it, and when to talk to your dentist.

What Causes Bad Breath?

Bad breath doesn’t come from nowhere — it’s usually caused by bacteria in the mouth that feed on leftover food particles and produce odour. Some common culprits include:

  1. Food particles – Strong-smelling foods like garlic, onions, and spices can leave lasting odours, especially if food debris gets trapped between teeth.

  2. Plaque build-up – When plaque isn’t removed through brushing and flossing, it hardens into tartar, which harbours bacteria that cause unpleasant smells.

  3. Dry mouth – Saliva naturally cleans your mouth. When you’re dehydrated, taking certain medications, or breathing through your mouth, bacteria multiply more easily.

  4. Gum inflammation – Gum problems can trap bacteria and lead to persistent bad breath if not treated early.

  5. Dental restorations or dentures – If not cleaned properly, they can collect food and plaque.

  6. Morning breath – Saliva flow decreases during sleep, allowing bacteria to grow overnight.

Occasional bad breath is completely normal, but ongoing odours can sometimes indicate a deeper oral hygiene issue.

How to Keep Your Breath Fresh Every Day

Fortunately, preventing bad breath usually comes down to consistent and simple habits:

  1. Brush your teeth twice a day.
    Use a soft-bristled toothbrush and fluoride toothpaste, brushing for at least two minutes each time. Don’t forget the gumline and back teeth.

  2. Floss daily.
    Flossing removes food particles and bacteria where toothbrushes can’t reach — especially between teeth and under the gumline.

  3. Clean your tongue.
    The tongue can hold a surprising amount of odour-causing bacteria. A quick scrape or brush each day can make a big difference.

  4. Stay hydrated.
    Drinking water throughout the day helps wash away food and keeps saliva flowing, your body’s natural defence against bad breath.

  5. Rinse after meals.
    Swish with water or an alcohol-free mouthwash to reduce bacteria and freshen your breath.

  6. Watch what you eat.
    Limit strong-smelling foods before social or professional events and opt for crunchy fruits and vegetables, which naturally clean your teeth.

Tooth-Friendly Foods That Help Freshen Breath

Some foods actually help keep your mouth clean and balanced:

  • Apples, carrots, and celery – their natural crunch helps scrub away food particles.

  • Cheese – helps neutralise acids and promotes saliva production.

  • Leafy greens – rich in chlorophyll, a natural odour neutraliser.

  • Green tea – contains polyphenols that reduce bacteria.

These choices don’t replace brushing and flossing, but they can support fresher breath between meals.

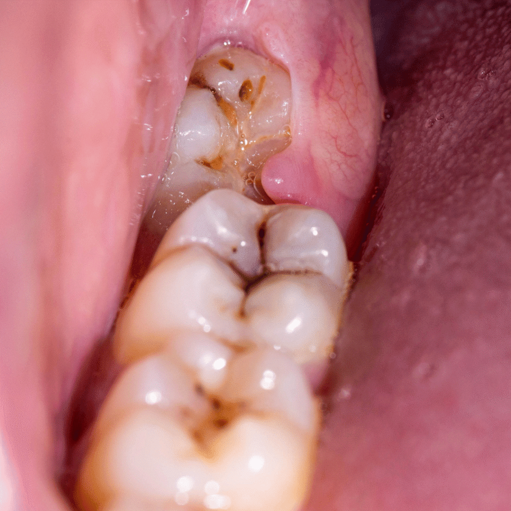
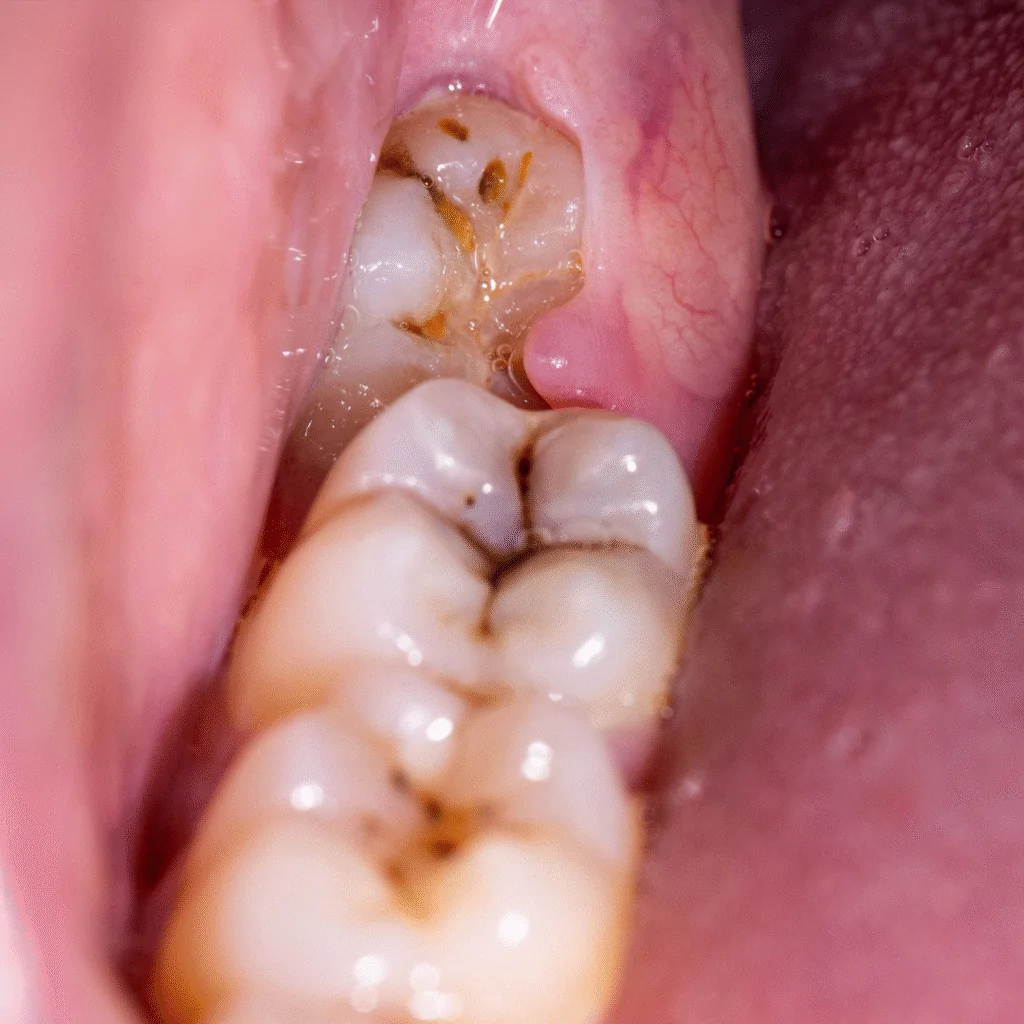
When Bad Breath Signals Something More

Sometimes, persistent bad breath can point to a dental issue that needs professional care. You may notice:

  • Bleeding or swollen gums

  • Dry mouth that doesn’t improve with water

  • Metallic or sour taste

  • Pain or discomfort around certain teeth

  • A coating on the tongue that doesn’t go away

These could indicate gum inflammation, decay, or other dental concerns that require treatment.

At Tooth Harmony in Niagara Falls, we take a full-mouth approach to find the underlying cause. During your exam, we’ll check for plaque build-up, gum health, and any areas that might be trapping bacteria.

Professional Solutions for Persistent Bad Breath

If brushing and flossing alone aren’t solving the problem, don’t worry — there are several dental treatments that can help:

  • Professional cleanings: Remove plaque and tartar that at-home care can’t reach.

  • Gum health treatments: Reduce bacteria below the gumline and improve freshness long-term.

  • Fluoride and desensitising care: Strengthen enamel and reduce areas where bacteria collect.

  • Dry mouth management: Our team can suggest products or habits that boost saliva flow.

We’ll also guide you on the best daily habits for your specific needs — whether you wear dentures, have restorations, or just need an easy refresh plan.

Everyday Habits That Make a Big Difference

Sometimes, improving your breath is about small, consistent habits:

  • Replace your toothbrush every three months (or after illness).

  • Avoid smoking or vaping — both dry out your mouth and create strong odours.

  • Don’t skip breakfast — it helps start saliva flow after a night’s rest.

  • Visit your dentist twice a year for professional cleanings and check-ups.

Fresh breath is often a reflection of overall oral health — when your gums and teeth are healthy, your breath usually follows.

Fresh Breath Starts Here — Tooth Harmony, Niagara Falls

If you’ve been feeling self-conscious about your breath or notice it lasting longer than usual, you’re not alone — and you don’t have to deal with it on your own.

At Tooth Harmony, our goal is to help you understand what’s happening, identify the cause, and create simple, practical steps to restore freshness and comfort.

Schedule a visit with Tooth Harmony in Niagara Falls at www.toothharmony.com to learn more about your options.

Or visit us here: 

Tooth Harmony Dental

toothharmonydental

Prev post
Next post