About us

Delivering exceptional dental care with a strong emphasis on patient comfort, advanced treatments, and personalized service to ensure a healthy, confident smile

Location

  • 8685 Lundy’s LN , Unit 9 Niagara Falls, On L2H 1H4

Social Media

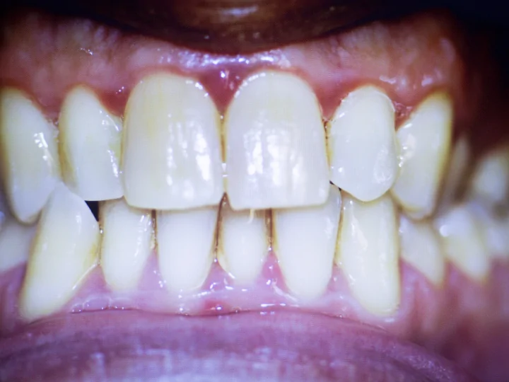
Plaque and Tartar Build-Up: Why It Happens and How to Keep Your Smile Healthy in Niagara Falls

Most people know they should brush and floss daily, but even with good habits, plaque and tartar can still build up over time. At Tooth Harmony in Niagara Falls, we help patients understand what causes this build-up, why it matters, and the simple steps to keep it under control.

What Is Plaque?

Plaque is a soft, sticky film that forms on your teeth when bacteria in your mouth mix with food and drink. It contains bacteria that feed on sugars, producing acids that can damage tooth enamel and irritate gums.

If plaque isn’t removed daily through brushing and flossing, it can harden into tartar (also called calculus), which can only be removed by a dental professional.

What Is Tartar?

Tartar is hardened plaque that forms above and below the gumline. Unlike soft plaque, tartar can’t be removed with a toothbrush at home—it requires professional cleaning tools.
Tartar build-up not only makes teeth look discoloured but also provides a rough surface where more plaque can accumulate, increasing the risk of gum disease and cavities.

Why Plaque and Tartar Matter

Unchecked plaque and tartar build-up can lead to:

  • Cavities

  • Gum inflammation (gingivitis)

  • Periodontal disease

  • Bad breath

  • Staining and discolouration

  • Tooth loss in severe cases

Signs You Might Have Tartar Build-Up

  • Rough or crusty texture on teeth near the gums

  • Yellow or brown deposits that don’t come off with brushing

  • Persistent bad breath

  • Red, swollen, or bleeding gums

How Tooth Harmony in Niagara Falls Can Help

Our professional dental cleanings are designed to:

  • Gently remove plaque and tartar build-up

  • Polish teeth for a smooth, fresh finish

  • Reduce the risk of cavities and gum disease

  • Provide personalized advice to help prevent future build-up

We recommend most patients come in for a cleaning every six months, but your needs may vary depending on your oral health.

Tips for Preventing Plaque and Tartar at Home

  • Brush at least twice daily with fluoride toothpaste

  • Floss once a day to remove plaque between teeth

  • Rinse with an antibacterial mouthwash

  • Limit sugary snacks and drinks

  • Stay hydrated to help wash away food particles

  • Avoid tobacco products, which can accelerate tartar build-up

📍 A Fresh, Healthy Smile Starts Here

Plaque and tartar are common problems, but with regular care at Tooth Harmony in Niagara Falls and good habits at home, you can keep your teeth and gums healthy for years to come.

📅 Book your cleaning today at www.toothharmony.com and take a step toward a fresher, healthier smile.

Tooth Harmony Dental

toothharmonydental

Prev post